Virales 1 año Muere a los 117 años la mujer más longeva del mundo La japonesa Tomiko Itooka, de 116 años, es ahora la persona más longeva del mundo
Valle de Aburrá 1 año Mujer de 66 años lideraba una casa de citas con adolescentes de 15 años, en Medellín El sitio estaba ubicado en el barrio Prado Centro, donde llegaban profesionales y comerciantes en busca de menores de edad
Nacional 1 año Falleció la abuela paterna del futbolista Radamel Falcao García en Santa Marta El 7 de junio Radamel Falcao García, había llegado en un avión privado a Santa Marta, junto a su esposa e hijos para visitar a su abela.
Nacional 1 año Joven se enmarihuanó e hirió con puñal a su abuela y hermanitos Había llegado desde Barranquilla a la población. Los apuñalados se encuentran en centros asistenciales.
Nacional 1 año Mujer de 89 años era maltratada por sus familiares, vivía en un carro En menos de una semana se han presentado dos casos de maltrato a mujeres mayores de 80 años.
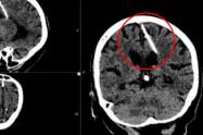
Virales 2 años Abuela descubre que llevó una aguja en el cerebro por más de 80 años Los médicos revelaron una posible hipótesis.
Nacional 2 años Asesinan a abuela que conoció a sujeto en aplicación de citas: Le desocupó el apartamento Autoridades buscan al sujeto que, al parecer, reside en el sur de Bogotá.
Nacional 2 años Abuelita salió a comprar unas arepas y fue embestida por un toro en Planadas La adulta mayor tuvo que ser trasladada a un centro asistencial en Ibagué, debido a la gravedad de las lesiones.
Virales 2 años Abuelita fue atacada por un jaguar, pero su reacción le da la vuelta al mundo Este video que se ha convertido en un fenómeno mundial.
Virales 3 años Mujer se casó con un joven 37 años menor que ella y busca tener un bebé En redes sociales la pareja ha subido varios videos en Tiktok.
Nacional 3 años A la cárcel mujer que prostituía a su nieta en Barrancabermeja A la cárcel mujer que al parecer ofreció los servicios sexuales de su nieta de 13 años de edad en el Puerto Petrolero.
Virales 3 años Delincuentes amputaron el brazo de una abuela luego de robarle su carro La mujer fue arrastrada varios metros cuando su brazo quedó atorado en la puerta del vehículo.
Virales 3 años Abuela le regaló sus ahorros a su nieta para que ir al concierto de Bad Bunny La anciana se muestra muy emocionada al contar cada moneda para cumplir el sueño de su nieta.
Nacional 4 años Abuela se salvó de morir luego que un carro cayera sobre su casa El automotor se descolgó en una bajada, yendo a parar contra el predio
Deportes 4 años Sentido mensaje de James por la muerte de su abuela Rosa Myriam Gómez, que falleció este sábado en la ciudad de Ibagué, Tolima.
Virales 4 años Estafadores llamaron por dinero y salieron tumbados por una abuela Una abuelita salió más astuta que los estafadores quienes la llamaron haciéndose pasar por un empleados de un banco.
Nacional 5 años [Video] ‘Abuelita rapera’ se hace viral por sus rimas en Transmilenio La mujer canta con una vitalidad que parece poco común para su edad.
Virales 5 años [Video] Niño salvó a su abuela del impresionante ataque de un toro Las imágenes del video pueden herir susceptibilidades, se recomienda discreción.
Virales 5 años [Video] A punta de palo, abuela reprendió a pareja que tenía relaciones sexuales en la calle La adulta mayor conocida como ‘Lady Irina’ aparece en las imágenes con una camiseta rosada y un gorro verde.
Valle de Aburrá 5 años Condenan a abuelita intentó entrar a Bellavista 200 gramos de cocaína en sus genitales Por este hecho la adulto mayor fue condenada a seis años de prisión.